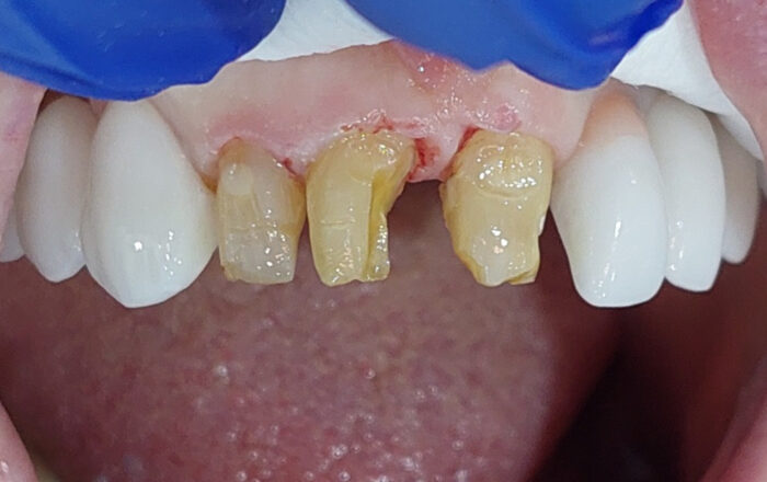
Before
After
Zirconia crowns changed to merge with neighbouring teeth and improve the smile in this 82 years old Lady, she loved her smile.
“Dr Roshani Dali is extremely professional and truly the best dentist I have ever had, with minimal discomfort, and she made me fee...”
“I am so impressed with the treatment I have had here - Quick Straight Teeth. The dentist gave me all the information I needed and ...”
“Just like anyone I was very nervous to see the dentist and at my initial consultation Mr Makhijani put me at such an ease that gav...”
“Dear Dr Mandeep Birah ! I would like to thank you for your very caring treatment for my daughter who has been very nervous patient...”
“Throughout my course of treatment I was given best care and attention by all dental team which I would love to recommend to all my...”